Převratný test na Parkinsona umožní včasnou detekci této choroby
Nový diagnostický test by mohl pomoci mnoha lidem ohroženým tímto neurodegenerativním onemocněním
O Parkinsonově chorobě, obávané neurodegenerativní nemoci toho stále ještě mnoho nevíme. Za současného stavu poznání jde o neléčitelný stav, který se postupně zhoršuje a stále více postihuje ovládání pohybu a dalších mozkových funkcí.
Vědci sice intenzivně pracují na léčebných postupech, který by mohly zasáhnout proti Parkinsonově nemoci, v dnešní době je ale stále nejlepším východiskem brzká diagnóza této zákeřné choroby.
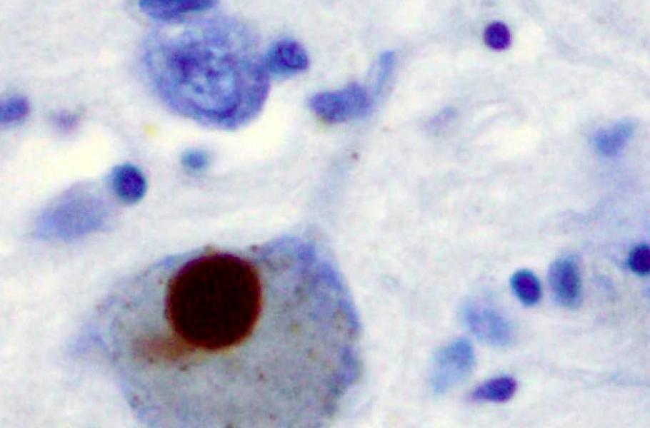
Badatelský tým Univerzity v Edinburghu nedávno vyvinul detekční test Parkinsonovy choroby, který pracuje se vzorky mozkomíšního moku, v nichž hledá specifickou formu proteinu zvaného alfa-synuklein. Dotyčný protein tvoří v nervových buňkách pacientů s Parkinsonem takzvaná Lewyho tělíska, která jsou zodpovědná za škody v nervové soustavě.
TIP: Geneticky upravené opičky pomáhají s výzkumem Parkinsonovy choroby
Zatím se ukazuje, že tento test je velice přesný a umožňuje spolehlivou detekci Parkinsona a některých forem demence. Pokud se osvědčí, mohl by pomoci mnoha lidem ohroženým tímto typem onemocnění.




